Publicaciones recientes
Launch of the WHO Labour Care Guide and User’s Manual
The WHO Labour Care Guide was developed to facilitate effective implementation of the WHO intrapartum care recommendations, and aims to support good-quality, evidence-based, respectful care irrespective of the setting or level of health care
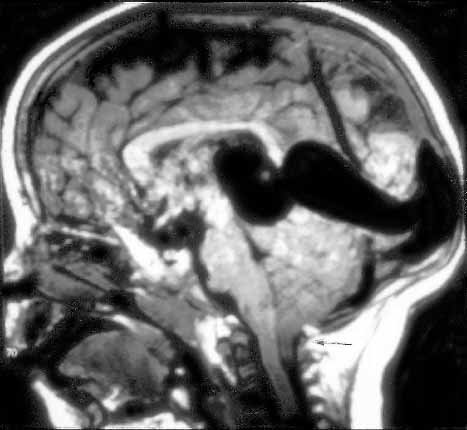
Prenatal diagnosis of cerebral vascular malformations: case series
To describe the ultrasound findings and perinatal out- comes of cases with a prenatal diagnosis of cerebral vascular malformations (CVM)
Las concentraciones plasmáticas de CD59 aumentan en la preeclampsia con características graves y se correlacionan con las medidas de laboratorio de la lesión de órganos diana
La desregulación de CD59 puede conducir a una mayor lesión de órganos diana mediada por complemento en la preeclampsia. Buscamos determinar si las concentraciones de CD59 soluble se alteran en la preeclampsia con características graves
Continuidad y satisfacción en la anticoncepción con implante subdérmico a los 6 y 12 meses de su implementación en el posparto inmediato
Estimar la continuidad y el nivel de satisfacción en el uso a seis meses y a un año del implante subdérmico para participantes del grupo de intervención inscritas en el estudio COMSE (Colombia Maternidad Segura)
Áreas de trabajo
Investigación, formación, docencia y servicio
Anticoncepción, planificación familiar, derechos en salud sexual y reproductiva
Anestesia y cuidado crítico
Hipertensión asociada al embarazo
Infecciones
Organización Mundial de la Salud
Hemorragia en el embarazo
Tabaquismo
Salud perinatal
Ultrasonido
Misión
- Desarrollo de proyectos de investigación para generar evidencia que guíe las mejores prácticas clínicas e impacten la salud pública.
- Establecimiento de programas de educación y entrenamiento en salud materna, perinatal, sexual y reproductiva.
- Diseminación de información en salud en Colombia y globalmente.
Metas
- El objetivo central es el desarrollo de investigación en Colombia y la región, para poder contribuir al mejoramiento de la salud materna, perinatal, sexual, reproductiva y pública.
- Establecer una red de investigación líder que permita crear oportunidades para entrenamiento de investigadores quienes estén iniciando su carrera académica.
- Apoyar la cultura de investigación como una prioridad profesional en el país, con mentoría y apoyo de profesores y expertos de Colombia e internacionales.
Llámenos
(+57) 601-722-0191
(+1) 5033677560 (WhatsApp)
Escríbanos
contacto@fundaredmaterna.org
Dirección
Cra. 19A #107-41
AP 204 Brr. San Patricio
Bogotá, Colombia