The WHO Labour Care Guide was developed to facilitate effective implementation of the WHO intrapartum care recommendations, and aims to support good-quality, evidence-based, respectful care irrespective of the setting or level of health care
Temas
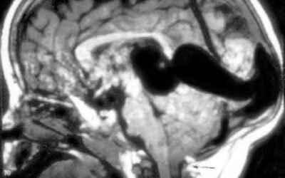
Prenatal diagnosis of cerebral vascular malformations: case series
octubre 2020
To describe the ultrasound findings and perinatal out- comes of cases with a prenatal diagnosis of cerebral vascular malformations (CVM)
Las concentraciones plasmáticas de CD59 aumentan en la preeclampsia con características graves y se correlacionan con las medidas de laboratorio de la lesión de órganos diana
octubre 2020
La desregulación de CD59 puede conducir a una mayor lesión de órganos diana mediada por complemento en la preeclampsia. Buscamos determinar si las concentraciones de CD59 soluble se alteran en la preeclampsia con características graves
Continuidad y satisfacción en la anticoncepción con implante subdérmico a los 6 y 12 meses de su implementación en el posparto inmediato
octubre 2020
Estimar la continuidad y el nivel de satisfacción en el uso a seis meses y a un año del implante subdérmico para participantes del grupo de intervención inscritas en el estudio COMSE (Colombia Maternidad Segura)
Enfermedad por coronavirus (COVID-19) en embarazo, parto y lactancia
agosto 2020
La pandemia de COVID-19 ha generado múltiples interrogantes respecto a su comportamiento en la población gestante y en los resultados peri- natales. Los datos disponibles sobre la infección por SARS-CoV-2 en el embarazo son limitados
Inducción del trabajo de parto en Optimal Intrapartum care, Best Practice & Research Clinical Obstetrics & Gynecology
agosto 2020
Lisa D. Levine, MD, MSCE a, *,Catalina M. Valencia, MD, Co-Directora b, c, d,Jorge E. Tolosa, MD, MSCE, Fundador & Co-Director, Coordinator c, e, f https://www.sciencedirect.com/journal/best-practice-and-research-clinical-obstetrics-and-gynaecology/issues a...
Anestesia para cirugia no obstetrica durante el embarazo – Clinical Obstetrics and Gynecology
junio 2020
La cirugía no obstétrica durante el embarazo ocurre en el 1% al 2% de las mujeres embarazadas. Los cambios fisiológicos durante el embarazo pueden tener un impacto cuando se necesita anestesia. Los agentes anestésicos comúnmente usados durante el embarazo no están asociados con efectos teratogénicos en dosis clínicas.
Embolia de líquido amniótico
noviembre 2019
La embolia de líquido amniótico (AFE) es una complicación poco común del embarazo que a menudo da como resultado resultados maternos y fetales catastróficos. Dada la rareza de esta afección, existe una amplia variación en la incidencia informada de embolia de líquido amniótico.
Prevención de la exposición al tabaco y la nicotina durante el embarazo
marzo 2019
Prevención de la exposición al tabaco y a la nicotina durante el embarazo: una prioridad para mejorar la salud perinatal y resultados maternos.
La OMS lanza lista de comprobación segura para el parto
noviembre 2018
De los más de 130 millones de nacimientos que se producen cada año, se estima que 303000 resultan en la muerte de la madre, 2,6 millones en la muerte del feto, y otro 2,7 millones en una muerte del recién nacido en los primeros 28 días de su nacimiento.
Evaluación de la activación del complemento en los trastornos hipertensivos de la gestación
noviembre 2018
Evaluación de la activación del complemento en los trastornos hipertensivos de la gestación en Colombia
Maternidad segura como resultado del uso de métodos de anticoncepción
noviembre 2018
Maternidad segura de alta adherencia y efectividad en el posparto inmediato
Llámenos
(+57) 601-722-0191
(+1) 5033677560 (WhatsApp)
Escríbanos
contacto@fundaredmaterna.org
Dirección
Cra. 19A #107-41
AP 204 Brr. San Patricio
Bogotá, Colombia











